A rossz harapás, vagy a stressz és az éjszakai fogcsikorgatás miatt fiatal, 40 éves páciensünk elkoptatta fogmagasságának felét, nagyjából 2,5mm-t. Minden vágya egy rendes mosoly volt!
Páciensünk 1 évig műanyag, ideiglenes fogpótlást viselt a felső fogakon. Ehhez szinte semmit nem kellett csiszolni a fogain, mert ő már megtette.
Páciensünk rosszul elkészített pótlással rendelkezett, illetve az alsó fogsorán is kopások voltak. A kezelése így zajlott:
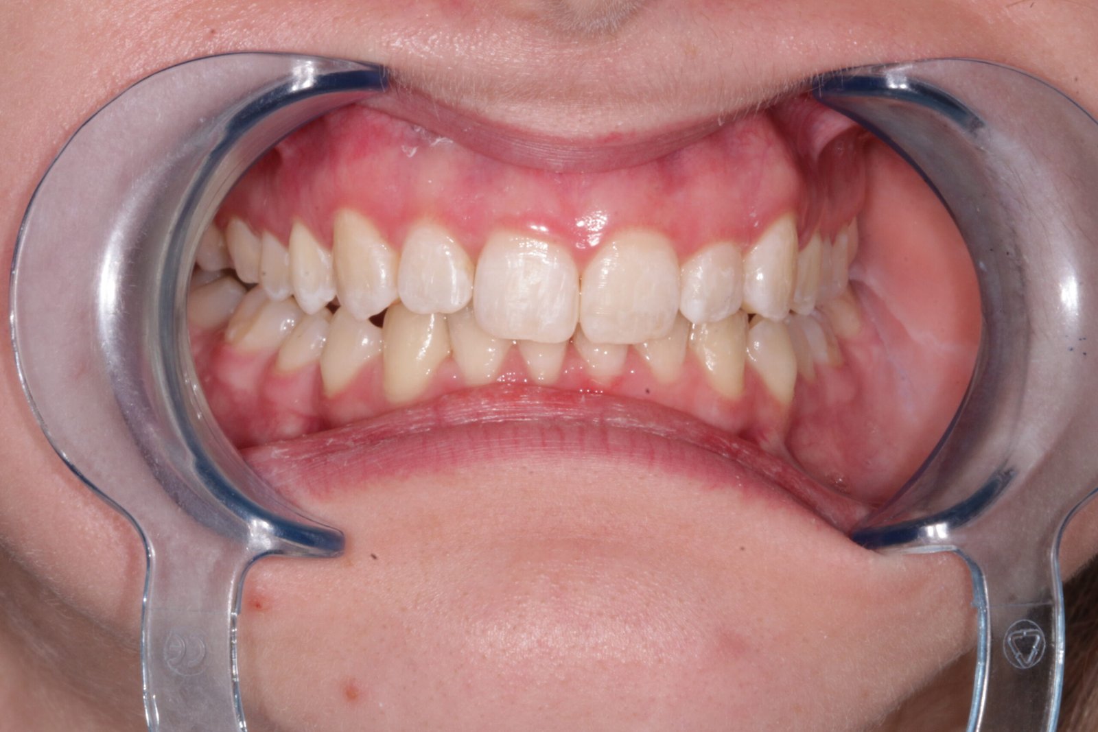
Hétfő - a felső ívről kihúztuk az összes fogát, amit szükséges volt, azt összevarrtunk, levettük a lenyomatot és betettük az implantátumot (bizony, ezt mind 1 kezelés alkalmával).
Szerda - a biztonság kedvéért végeztünk egy próbát a fogsorral.
Péntek - készen lett az ideiglenes fogsor, ami a képeken is látható.
Ezt a Páciensünk 4-5 hónapig fogja viselni, ez idő alatt teljesen begyógyul az íny és a csont. Ezután újabb lenyomatot veszünk majd és ez alapján elkészül a végleges, üvegszál erősítésű kompozit pótlás, ami pontosan ugyanígy fog kinézni, csak sokkal rugalmasabb és könnyebben kezelhető lesz.
A Smilezor láthatatlan fogszabályzóval kellemetlenség és fém drótok nélkül tudunk - akár rövidebb idő alatt is - rendkívül látványos hatást elérni.
Az eredmény magáért beszél! :)
Ez a gyermekkori fogszuvasodás egyik leggyakoribb formája, sajnos sokakat érint. Akkor következik be, ha a gyerek fogai gyakran és sokáig érintkeznek cukros folyadékkal - elhúzódó szoptatáskor vagy a fektetéseknél adott bébiétel, gyümölcslé vagy tej által. A cukor hatására ilyenkor a száj PH-ja savassá válik, ami megágyaz a baktériumoknak és a fogszuvasodásnak.
A cumisüveg szindróma fogászati probléma, aminek természetesen van fogászati kezelése. A DentaLove-nál mi magunk is készítünk tejfogtöméseket, akár színes verzióban is.
Mostantól elérhető nálunk a Peek műanyag alaplemez, amely fém elődjét váltja le.
Előnyei:
Vékony - könnyű és kényelmes
Rugalmas - ugyanakkor kemény
Esztétikus - a színárnyalatot is a páciens választhatja meg
Régi, nagyon rosszul elkészített töméseket láthatunk. A legnagyobb baj, hogy a két tömés össze van kötve és emiatt nem lehetett tisztítani. Így gyorsan elkezdett szuvasodni.
Az alaptömés elkészítése után látható, hogy mélyen, a fognyakhoz közel van a gyulladt íny. A fehér színű betétek ragasztója érzékeny a nedvességre, ezért ilyenkor a legjobb választás az arany.
A bal oldali képen egy "tesó harc" eredményét láthatjuk, a jobb oldali képen a fogászati kezelés eredményét.
8 éves Páciensünk tesó harcba keveredett, melynek eredménye egy fogbélig letört fog lett.
Az első kezelés során lefedtük a vérző fogbelet biodentinnel és pulpasapkáztuk. Így megmenekült a frissen előtört maradó fog a gyökérkezeléstől!
Ennek az volt a feltétele, hogy a baleset és a kezelés között kevés idő telt el, illetve, hogy fiatal a páciens.
A következő kezeléskor felépítettük egy viaszkulcs segítségével a fogat, végül pedig színellenőrzés után véglegesítettük az eredményt.
Kedves hölgy páciensünknek nem tetszettek a meglévő fog formái: kerekebb, nőiesebb fogakat szeretett volna. Emellett a meglévő hidakat is ideje volt már cserélni. Hab a tortán, hogy elég gyakran vannak epilepsziás rohamai. Így a meglévő fogai sérültek, töredezettek és félő volt, hogy az elkészülő új pótlást is szétharapja.
Azért hívjuk előrészes koronának, mert csak az ajak felőli részen van némi kerámia, az össze többi egy tömbből kimart cirkonium-dioxid, ami a legerősebb anyag, amit a szájban használhatunk - kb. 10x keményebb a fognál. Ezt a technikus speciális festékkel vonja be azokon a területeken, ahova nem kerül kerámia. Így elkerülhető a kopás, lepattanás.
Hölgy páciensünknek egészen apró, gyöngy fogai vannak, így extra vékony pótlást csiszoltunk neki. Ahogy a mérőeszközön látszik, az anyagvastagság 0,5 mm volt.
Többféle pótlás közül lehetett választani:
hagyományos korona – többet kellett volna csiszolni, ami alacsonyabbá tette volna a koronát és a pótlás szinte ki sem látszódott volna az íny alól
fém-kerámia pótlás – itt kb 1,8 mm-t kellett volna csiszolni, amivel a híd elvesztette volna a stabilitását és rengeteg foganyagot vesztettünk volna.
Így a cirkonra esett végül a választás. A pótlás egy olyan átmenetes cirkon tömbből lett kifaragva, amire kerámiát sem kellett rétegezni, mert már önmagában is tökéletesen esztétikus.
Az íny alatti szuvasságot nagyon nehéz megfelelően kezelni és jól betömni. Mi viszont bevetjük ezt a kék csillámos izoláló csodafolyadékot, aminek segítségével a fog menthetővé válik!
Hihetetlen, de ez a fog egyébként nem fáj és már nem is fog, mivel gyökérkezelték. Látszik a fog közepén a narancssárgás tömés - ennek helyére fog bekerülni egy üvegszálas csap.
Persze hosszú még az út, mire a korona is el tud készülni, és a fog újra szép lesz, de megéri, hiszen megmentünk egy fogat a kihúzástól.
Ezen a képen egy speciális gumilepedőt használunk, ami teljesen izolálja száj kezelt és kezeletlen részét. A sterilitás és a tartósság szempontjából nagyon fontos szárazon tartani a kezelt fogakat, ami sokszor azzal jár, hogy a páciens szája kiszárad. Ennek a gumilepedőnek a használatával ez nem fog bekövetkezni!
Kiindulási helyzetben láthatjuk a kisőrlő mély, íny alatti törését és a metszőfog töméseinek csúnya elszíneződését. Ami nem látszik a képen, hogy ezek a fogak mozogtak. Ilyen esetben érdemes őket összekötni, ezzel biztosítva a stabilitásukat.

A minimális foganyagelvétel elve alapján, tömésekkel és betétekkel kötöttük össze a fogakat ahelyett, hogy az összeset lecsiszoltuk volna és hidakat gyártattunk volna rájuk. Így ez egy kényes, de mégis konzervatív megoldás és már közel 10 éve működik megfelelően, páciensünk nagy megelégedésére.